You Just Started Orthodontic Treatment…Now What?
The First Few Days
As your mouth adjusts to the appliances that we have placed, it is normal to feel soreness during the first few days. Try to eat soft foods and you may wish to take a mild, non-prescription pain reliever, like Tylenol.
Wax
Although the brackets have been rounded and smoothed, you may find it helpful to use a small piece of wax around the bracket if irritation occurs. We will give you a supply of wax at the start of treatment, and you can always call our office for more.
Eating Suggestions
Smaller, Softer, & Slower:
This will make chewing easier for you and less uncomfortable if your teeth are sore. Cutting your food into small pieces will minimize the amount of chewing. Softer foods will make it much easier to chew. By eating slower, you will decrease the likelihood of biting your tongue and cheek.
Eating Guidelines
A careful orthodontic patient can probably eat almost any food without damage to his/her appliances. However, certain types of food can cause trouble bending wires, breaking braces, and loosening the cement that attaches the appliance to your teeth.
- Hard foods
- Sticky foods
- Foods high in sugar
Hard Foods To Avoid
Hard bread, ice, popcorn, jawbreakers, jolly ranchers, hard pretzels, croutons, whole nuts, chips, and hard taco shells.
TAKE SPECIAL CARE WHEN EATING THESE FOODS
- Apples, peaches, plums – cut unto smaller pieces and chew on back teeth.
- Bagels, po’ boy bread, pizza crust – break into bite-size pieces.
- Carrots, celery, raw veggies – cut into small pieces and chew on back teeth.
- Corn on the cob – should be cut off the cob.
Mouthguards
If you play sports, always remember to wear a mouthguard. Be sure to talk with us about your individual needs.
Brushing & Flossing
- Start by using your dental floss and floss the threader to floss between each tooth.
- Then, take your toothbrush and brush in a smaller circular motion on the teeth and gums to remove food particles.
- Next, brush in a circular motion between braces and under gums, a few teeth at a time.
- Scrub the chewing surfaces last.
- Brush the roof of your mouth and your tongue.
- When you are finished, the bands should be shiny and free of all food particles and white coatings. If you notice that you have red, swollen gums, take special care to massage them with your toothbrush.
Visiting Your Family Dentist
- It is very important that you see your dentist before, during, and after orthodontic treatment.
- Follow up with regular cleanings approximately every four to six months.
- Please remember that your appointments with us do not take the places of your regular dental checkups with your dentist.
In Case Of An Emergency
Emergencies Require Immediate Attention
- Direct inquiries to the mouth usually require a radiograph of the affected tooth to determine the extent of the injury.
- Call our office immediately. If you are unable to reach us, call your general dentist or do directly to the Emergency Room to obtain appropriate care.
Broken Orthodontic Appliances
If you have an emergency, please call the office before you come in. This will allow us to assess the problem and determine the appropriate amount of time needed for your appointment.
- If a wire is irritating your mouth, cover it with wax or tuck it under the archwire using a blunt object like a pencil eraser.
- A broken archwire, or one that is irritating the gum or cheek tissue, needs to be seen for replacement or adjustment.
- A bent removable appliance that is not fitting well should not be worn until it can be properly adjusted at our office.
- If an appliance comes loose from a tooth, call our office immediately.
- If a band or bracket comes off completely, save it and call to schedule an appointment for it to be rebonded.
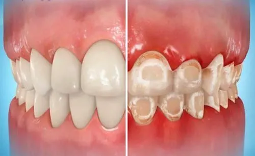
Soft Drinks + Orthodontic Treatment = A Recipe For Disaster
Soft drinks, including regular and diet soda pop, fruit drinks, sports drinks, and energy drinks, weaken tooth enamel. They are even harder on your teeth with orthodontic “appliances,” such as braces or aligners. It is recommended that you avoid soft drinks during your orthodontic treatment so that your teeth stay healthy and strong, and you finish your treatment with a good bite and a healthy, beautiful smile.
Acid Is The Culprit
Soft drinks contain acids.
- Acid pulls calcium out of the enamel, making the tooth soft to the touch.
- Acid dissolves tooth enamel, a process called “decalcification,” and can lead to cavities.
- Once enamel dissolves, it does not come back.
- The loss is permanent.
How Soft Drinks Affect Teeth With Braces
White marks like these on teeth are the result of decalcification and are permanent. If you don’t remove the plaque that collects around brackets, between teeth and under the gums, decalcification can be evident within four months.
